Сегодня в мире почти невозможно найти людей, которые не имеют проблемы с зубами. К сожалению, такая проблема находит всех рано или поздно и всем приходиться вылечить зубы или использовать протезы. Стоматологическая клиника предлагает разные виды зубных протезов.
Они делятся на две группы:
— съемные протезы;
— несъемные протезы.
Каждый тип протеза имеет свои особенности и преимущества.
Несъемные протезы изготавливаются и устанавливаются на зубы так, чтобы служили долго. Протезирование зубов по данному методу, помогает восстановить потерянные зубы, также этим методом заполняется место утраченных зубов. Среди несъемных протезов, особенно популярны коронки, мостовидные протезы, микро протезы и имплантаты.
Для восстановления зуба выбирается коронка, если верхняя часть зуба разрушен, но ее корен прочный и остался более или менее целым. Они создаются из металла и керамики.
Мостовидные протезы используются, если отсутствуют несколько зубы, которые стояли рядом. Такие конструкции равномерно распределяют жевательную нагрузку, долго служат и имеют невысокую стоимость, по сравнению единичными имплантатами.
Микропротезы помогают восстанавливать частично разрушенный зуб, также с их помощью решаются некоторе эстетические задачи. Существуют несколько видов микро протезов — вкладки, виниры и ультравиниры. Каждый вид используется для решения отдельной проблемы зубов. Например, вкладки помогают вернуть прежний вид зубам и остаются незамеченными. Виниры используются для скрывания мелких дефектов на зубах, а ультравиниры устанавливаются для решения эстетических проблем.
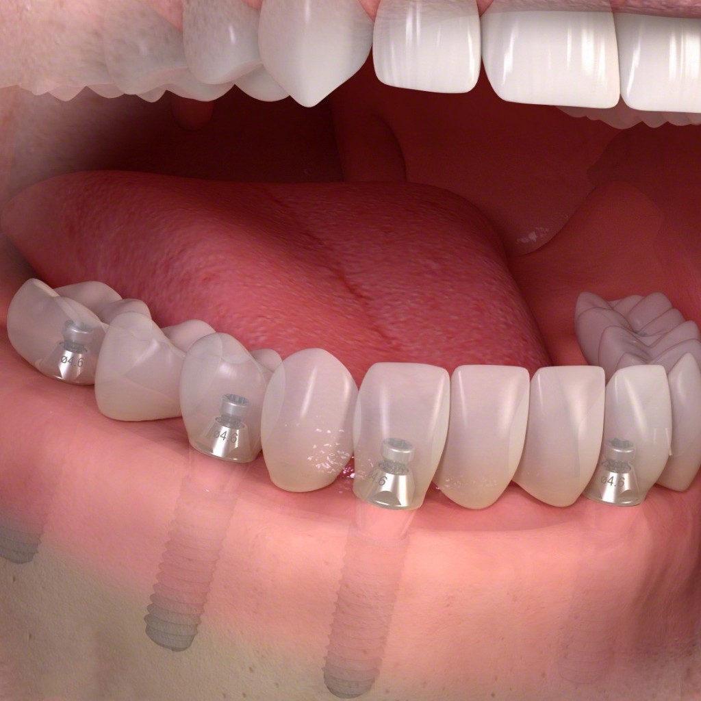
Самые дорогостоящие несъемные протезы – это имплантаты. Этот метод протезирования называется имплантация зубов и считается самым высокотехнологичным и современным, который позволяет вернуть зубам не только эстетичный вид, но и еще жевательную функцию. Имплантаты способны полностью заменить корень зуба. Также они долговечны и могут служить до 20 лет.
Съемные протезы имеют особенность сниматься. Пациент может снимать ее, очистить и потом обратно вставить в челюсть. Они удобны в использовании и не вызывают дискомфортные ощущения, но недолговечны, так как могут деформироваться.













